Παιδιά

Κύφωση

Είναι η υπερβολική κυρτότητα της θωρακικής μοίρας της σπονδυλικής στήλης. Η πάθηση προσβάλλει συνήθως αγόρια εφηβικής ηλικίας και η αιτία εμφάνισης είναι ιδιοπαθής.

Η θεραπεία περιλαμβάνει  κινησιοθεραπεία, προσοχή στάσης και θέσης ακόμα και στον ύπνο ενώ σε περιπτώσεις που η κυρτότητα είναι μεγαλύτερη των 40º, συνίσταται η χρήση ειδικού κηδεμόνα 

 

Σπονδυλόλυση

Είναι η λύση της συνέχειας του οστού μεταξύ άνω και κάτω αρθρικής απόφυσης του σπονδυλικού τόξου. Εμφανίζεται συνηθέστερα ως αποτέλεσμα κατάγματος, ισχυρού τραυματισμού ή κληρονομικής προδιάθεσης ή εκφυλισμού σε μεγαλύτερης ηλικίας ασθενείς.

Ο Ορθοπαιδικός θα αποφασίσει ανάλογα με τη βαρύτητα και την κλινική εικόνα, ποια θεραπευτική αγωγή θα ακολουθηθεί που στις περισσότερες περιπτώσεις είναι συντηρητική.

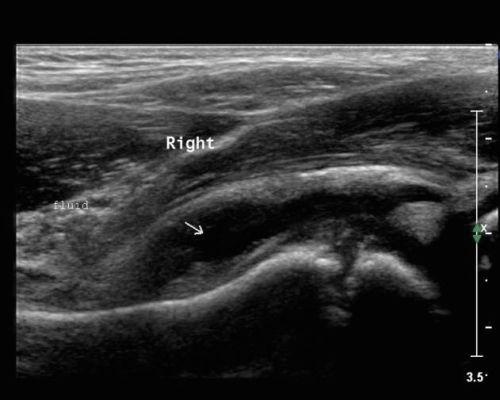
Παροδική Υμενίτιδα

Είναι η πιο συχνή αιτία επώδυνου ισχίου και χωλότητας σε παιδιά ηλικίας 6 με 10 ετών. Η πάθηση εμφανίζεται συνηθέστερα στα αγόρια με αναλογία 3 προς 1. Το κύριο σύμπτωμα είναι η χωλότητα στη βάδιση, ο περιορισμός των στροφικών κινήσεων του ισχίου καθώς και μερικές φορές η αντανάκλαση του πόνου στο ίδιο γόνατο.

Η θεραπεία που συνίσταται είναι η αποφόρτιση σκέλους - κλινοστατισμός και αυστηρή ξεκούραση για μερικές ημέρες.

Ραιβόκρανο

Χαρακτηρίζεται η ακούσια σύσπαση των μυών της αυχενικής μοίρας της σπονδυλικής στήλης, η οποία έχει ως συνέπεια τον περιορισμό του εύρους κίνησης του αυχένα του παιδιού ενώ το κεφάλι βρίσκεται συνήθως σε πλαγιά θεση.Τα κύρια συμπτώματα είναι το άλγος της περιοχής, διαταραχή της φυσιολογικής κλίσης-θέσης του κεφαλιού καθώς και η αδυναμία κίνησης του.

Πάντα πρέπει να λαμβάνεται ακριβές ιστορικό εμφάνισης των συμπτωμάτων και αναλόγως να ακολουθεί η εξατομικευμένη θεραπεία

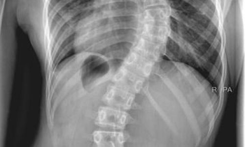
Σκολίωση

Είναι η πλάγια και στροφική απόκλιση μιας σειράς σπονδύλων από τη μέση ανατομική θέση του φυσιολογικού σπονδυλικού άξονα. Χαρακτηριστικά της είναι:

  • ασυμμετρία μαστών και ώμων
  • η έντονα λοξή πλάτη (±)
  • δημιουργία πλευρικού ύβου (θωρακικά κυρτώματα)
  • ασυμμετρία λεκάνης

Ανάλογα με την κλινική εικόνα η θεραπεία είναι είτε συντηρητική με κινησιοθεραπείες - φυσικοθεραπείες είτε η χρήση κηδεμόνα σε πιο σοβαρές περιπτώσεις.

Γεώργιος Μπέκας MD, MSc

Ραντεβού: 6944 985258
Σταθερό Τηλ.: 210 7232382
Επείγοντα: 6932 038056
EmailΑυτή η διεύθυνση ηλεκτρονικού ταχυδρομείου προστατεύεται από τους αυτοματισμούς αποστολέων ανεπιθύμητων μηνυμάτων. Χρειάζεται να ενεργοποιήσετε τη JavaScript για να μπορέσετε να τη δείτε.

ΙΑΤΡΕΙΟ ΑΘΗΝΩΝ

Πρατίνου 3, Παγκράτι

ΙΑΤΡΕΙΟ ΑΓ. ΑΝΑΡΓΥΡΩΝ

Ρήγα Φεραίου 2, Άγιοι Ανάργυροι

Ο ιατρός δέχεται κατόπιν ραντεβού 

 


© 2022, Dr. Georgios Mpekas | Realized by opk.gr