Το σύνδρομο καρπιαίου σωλήνα αποτελεί πάθηση συνεπεία πίεσης του μέσου νεύρου στην περιοχή του καρπού. Τα συμπτώματα ποικίλουν. Οι ασθενείς παρουσιάζουν πόνο στο χέρι στην πορεία νεύρωσης του μέσου νεύρου, μυϊκή αδυναμία - ατροφία του καρπού, εύκολη πτώση αντικειμένων και φυσικά αιμωδίες - μουδιάσματα κυρίως στα 3 πρώτα δάκτυλα του καρπού. Εμφανίζεται συχνότερα γυναίκες και σε άτομα με συνοδές παθήσεις όπως υποθυρεοειδισμός, παχυσαρκία και ρευματοειδής αρθρίτιδα.
Επίσης σε άτομα με χρόνια νεφρική ανεπάρκεια. Ακόμα το σύνδρομο προτιμά τους καπνιστές ενώ είναι συχνό να εμφανίζεται και σε έγκυες γυναίκες.
Η διάγνωση γίνεται με την λεπτομερή λήψη ατομικού ιστορικού και κλινική εξέταση. Η επιβεβαίωση της διάγνωσης γίνεται με το ηλεκτρομυογράφημα άνω άκρου.
Η θεραπεία είναι αρχικά συντηρητική με φαρμακευτική αγωγή καθώς και με ακινητοποίηση καρπού με νυκτερινό νάρθηκα. Σε προχωρημένα στάδια της πάθησης με εμμένον άλγος και αιμωδίες η θεραπεία είναι χειρουργική με ελάχιστα επεμβατική μέθοδο για άμεση ανακούφιση από τον πόνο.
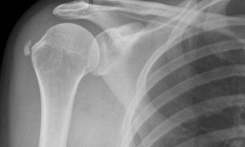
Η ασβεστοποιός τενοντίτιδα του ώμου αποτελεί μια συχνή πάθηση των ενηλίκων. Η πάθηση χαρακτηρίζεται από την εμφάνιση ασβεστώματος με συνοδό φθορά στους τένοντες των μυών του στροφικού πετάλου του ώμου (υπερακάνθιος και υπακάνθιος). Η πάθηση είναι κυρίως ιδιοπαθής. Εμφανίζεται συχνότερα σε γυναίκες και κυρίως σε άτομα της ηλικιακής ομάδας από 30-60 ετών. Στατιστικά συνδέεται με την ύπαρξη 2 συνοδών νοσημάτων, του σακχαρώδη διαβήτη (Σ.Δ.) και του υποθυρεοειδισμού. Η κλινική εικόνα είναι η εξής. Ο ασθενής εμφανίζει έντονο άλγος στην περιοχή του ώμου με συνοδό μείωση του εύρους κίνησης της άρθρωσης. Το άλγος μπορεί να είναι και νυχτερινό ενώ η αδυναμία της κίνησης μπορεί να οδηγήσει στη δημιουργία συμφύσεων στον ώμο και εμφάνισης του συνδρόμου παγωμένου ώμου (frozen shoulder).
Η διάγνωση επιβεβαιώνεται συνήθως με μια απλή ακτινογραφία ενώ σε περιπτώσεις που χρειάζεται αρθοσκοπική αποκατάσταση γίνεται και μαγνητική τομογραφία ώμου.
Η θεραπεία είναι φαρμακευτική με χρήση μη στεροειδών αντιφλεγμονωδών φαρμάκων, φυσικοθεραπείες με μυϊκή και κινητική ενδυνάμωση της ωμικής ζώνης ενώ πλέον η πιο σύγχρονη αντιμετώπιση γίνεται με τις νέες βιολογικές θεραπείες, με έγχυση πλάσματος πλούσιο σε αιμοπετάλια (prp injection).
Σε εμμένουσες καταστάσεις που είτε τα συντηρητικά μέσα δεν έχουν εξαλείψει πλήρως το πρόβλημα, είτε σε καταστάσεις που πλέον δυσκολεύουν τις απλές καθημερινές δραστηριότητες του ασθενούς, η λύση είναι η ελάχιστα επεμβατική χειρουργική μέθοδος του ορθοσκοπικού καθαρισμού της ασβέστωσης. Η μέθοδος είναι γρήγορη, ακριβής, με ελάχιστο χρόνο παραμονής στο νοσοκομείο (ημερήσια νοσηλεία), ενώ ο ασθενής ανακουφίζεται άμεσα από τα συμπτώματα επιστρέφοντας γρήγορα στις καθημερινές του δραστηριότητες.
Αποτελεί μια από τις συχνότερες στενωτικού τύπου τενοντοελυτρίτιδες. Προκαλείται από το μηχανικό κόλλημα των καμπτήρων τενόντων κατά την κίνηση τους στο A1 δακτυλιοειδή σύνδεσμο του δακτύλου.
Η κλινική εικόνα είναι ο πόνος στην βάση του δακτύλου ο όποιος προοδευτικά επιδεινώνεται καθώς και το αίσθημα κλειδώματος του δακτύλου. Σε προχωρημένα στάδια το δάκτυλο κλειδώνει μόνιμα σε θέση κάμψης.
Η θεραπεία είναι η φαρμακευτική αγωγή για τα αρχικά στάδια, η έγχυση prp για το στάδιο της εμφάνισης του αισθήματος κλειδώματος ενώ όταν υπάρχει έντονο άλγος και αδυναμία κίνησης του δακτύλου συνίσταται η χειρουργική αποκατάσταση με την διάνοιξη του δακτυλιοειδούς συνδέσμου.
Αποτελούν συχνές τενοντίτιδες του αγκώνα των ενηλίκων και οφείλονται σε υπέρχρηση των τενόντων. Στην έξω επικονδυλίτιδα (TENNIS ELBOW) πάσχουν οι τένοντες της μάζας των εκτεινόντων του αγκώνα ενώ στην έσω επικονδυλίτιδα (GOLFER'S ELBOW) πάσχουν οι τένοντες της μάζας των καμπτήρων τενόντων του αγκώνα.
Η διάγνωση είναι κυρίως κλινική. Κατά την κλινική εξέταση ο ασθενής εμφανίζει έντονο πόνο στην ψηλάφηση του αγκώνα, ενώ ο πόνος επιδεινώνεται όταν βάλουμε αντίσταση στην κίνηση του καρπού (έκταση και κάμψη της πηχεοκαρπικής).
Σε προχωρημένα στάδια ο ασθενής παρουσιάζει δυσκολία και πόνο σε απλές καθημερινές κινήσεις όπως είναι η απλή άρση ενός αντικειμένου με το χέρι.
Η θεραπεία είναι κυρίως συντηρητική με την χρήση φαρμακευτικής αγωγής, παγοθεραπείας, χρήση νάρθηκα πηχεοκαρπικής ενώ σε εμμένουσες καταστάσεις διενεργείται σύγχρονη βιολογική θεραπεία με έγχυση πλάσματος πλούσιων σε αιμοπετάλια (prp injection) με άριστα άμεσα και μακροπρόθεσμα αποτελέσματα.
Αποτελεί μια από τις συχνότερες αιτίες χαμηλής οσφυαλγίας με συνοδό ισχιαλγία και ριζιτική συνδρομή (άλγος και μούδιασμα κάτω άκρου).
Από το ιστορικό του ασθενούς η εμφάνιση της οσφυαλγίας μπορεί να είναι είτε με οξύ άλγος κατά την άρση βάρους ή οσφυαλγία λόγω καταπόνησης της σπονδυλικής στήλης κατά την καθημερινότητα (καθιστική εργασία).
Η διάγνωση γίνεται μέσω της κλινικής εξέτασης με τις διάφορες κλινικές δοκιμασίες που υποβάλλει ο ορθοπεδικός τον ασθενή ενώ η επιβεβαίωση καθώς και η σοβαρότητα - μέγεθος της κήλης γίνεται με τη διενέργεια μαγνητικής τομογραφίας της σπονδυλικής στήλης.
Η θεραπεία στα αρχικά στάδια είναι φαρμακευτική αγωγή, φυσικοθεραπείες για μυϊκή ενδυνάμωση των κοιλιακών και ραχιαίων μυϊκών ομάδων, η χρήση ειδικών κηδεμόνων οσφύος καθώς και η έναρξη καθημερινής γυμναστικής - αλλαγή τρόπου ζωής.
Σε εμμένουσα ριζιτική συνδρομή η θεραπεία είναι χειρουργική με μικροδισκεκτομή η οποία προσφέρει άμεση ανακούφιση των συμπτωμάτων.
Αποτελεί μια από τις συχνότερες τενοντίτιδες των νοικοκυρών. Είναι μια στενωτικού τύπου τενοντοελυτρίτιδα στην οποία έχουμε φλεγμονή του πρώτου ραχιαίου διαμερίσματος.
Η διάγνωση γίνεται με την κλινική εξέταση με την δοκιμασία Finkelstein.
Η κλινική εικόνα είναι το έντονο άλγος στην περιοχή της στυλοειδούς απόφυσης της κερκίδας.
Η θεραπεία είναι κυρίως συντηρητική με χρήση ειδικών κηδεμόνων - νάρθηκα, φαρμακευτική αγωγή καθώς και εγχύσεις πλάσματος πλούσιου σε αιμοπετάλια (PRP injection).
Σε μη ανταποκρινόμενες παθήσεις στα ανωτέρω θεραπευτικά μέσα συνίσταται χειρουργική αντιμετώπιση με ελάχιστα επεμβατική μέθοδο διάνοιξης του πρώτου ραχιαίου διαμερίσματος.
Ραντεβού: 6944 985258
Σταθερό Τηλ.: 210 7232382
Επείγοντα: 6932 038056
Email: Αυτή η διεύθυνση ηλεκτρονικού ταχυδρομείου προστατεύεται από τους αυτοματισμούς αποστολέων ανεπιθύμητων μηνυμάτων. Χρειάζεται να ενεργοποιήσετε τη JavaScript για να μπορέσετε να τη δείτε.
© 2022, Dr. Georgios Mpekas | Realized by opk.gr 