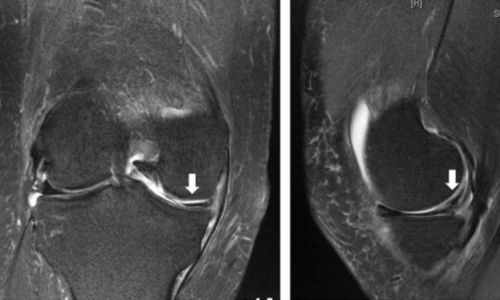
Αποτελεί μια από τις συχνές αθλητικές κακώσεις, συχνότερα στις γυναίκες. Προκαλεί οίδημα (αίμαρθρο) καθώς και αστάθεια (πρόσθια και στροφική) γόνατος.
Η διάγνωση γίνεται με λεπτομερή κλινική εξέταση του τραυματισμένου γόνατος ενώ παράλληλα η επιβεβαίωση της διάγνωσης γίνεται με διενέργεια μαγνητικής τομογραφίας γόνατος.
Η θεραπεία είναι πάντα εξατομικευμένη. Λαμβάνονται υπ’ όψιν η ηλικία του ασθενούς, το επίπεδο σωματικής άθλησης - δραστηριότητας και άλλα. Η συντηρητική αντιμετώπιση αφορά ενδυνάμωση των μυϊκών ομάδων του γόνατος (τετρακέφαλος) ενώ η χειρουργική αντιμετώπιση γίνεται με αρθοσκοπική συνδεσμοπλαστική με χρήση αυτόλογου μοσχεύματος του ασθενούς με ελάχιστο χρόνο νοσηλείας και ταχύτατη επάνοδο στις αθλητικές δραστηριότητες.
Εμφανίζεται συχνά σε νέους αθλητές στα πλαίσια αθλητικής κάκωσης ενώ παράλληλα μπορεί να εμφανιστεί και σε άτομα μεγαλύτερης ηλικίας με εκφυλιστική αιτιολογία (ηλικιακή φθορά).
Η διάγνωση γίνεται κλινικά μετά από τις κλινικές δοκιμασίες του ορθοπεδικού (π.χ. test Mcmurray) και η τελική επιβεβαίωση γίνεται μετά από απεικονιστικό έλεγχο με μαγνητική τομογραφία γόνατος.
Η ρήξη μπορεί να αφορά είτε τον έσω μηνίσκο (συχνότερα σε άτομα μεγαλύτερης ηλικίας) είτε τον έξω μηνίσκο (συνήθως η ρήξη αυτή συνυπάρχει με ρήξη πρόσθιου χιαστού συνδέσμου).
Η θεραπεία είναι είτε χειρουργική (αρθοσκοπική συρραφή μηνίσκου ή αρθοσκοπική μηνισκεκτομή) είτε συντηρητική αντιμετώπιση. Η απόφαση για το είδος της θεραπείας γίνεται πάντα μετά από συζήτηση και λεπτομερή ανάλυση του ορθοπεδικού ιατρού με τον ίδιο τον ασθενή λαμβάνοντας υπ' όψιν παράγοντες όπως η ηλικία του ασθενούς, το είδος της ρήξης, τα συμπτώματα που οδήγησαν τον ασθενή να ζητήσει βοήθεια καθώς και το επίπεδο αθλητικής δραστηριότητας του ασθενούς.
α) Τενοντίτιδα επιγονατιδικού τένοντα.
Συχνή πάθηση των αθλητών. Εμφανίζεται με πόνο στην πρόσθια επιφάνεια του γόνατος. Κατά την κλινική εξέταση ο ασθενής παρουσιάζει άλγος στον κάτω πόλο της επιγονατίδας κατά την πλήρη έκταση του γόνατος.
Η θεραπεία είναι συνήθως συντηρητική και περιλαμβάνει παγοθεραπεία, διαφοροποίηση της αθλητικής δραστηριότητας του ασθενούς, ξεκούραση, αντιφλεγμονώδης αγωγή, ενώ πλέον σε εμμένουσες μορφές τενοντίτιδας διενεργούνται σύγχρονες βιολογικές θεραπείες όπως η έγχυση πλάσματος πλούσιων σε αιμοπετάλια (PRP injection).
β) Τενοντίτιδα τετρακεφάλου τένοντα.
Αποτελεί άλλη μια συχνή αθλητική κάκωση. Παρουσιάζεται με πόνο στην πρόσθια επιφάνεια του γόνατος. Η κλινική εξέταση του ασθενούς εμφανίζει άλγος στον άνω πόλο της επιγονατίδας.
Η θεραπεία είναι συνήθως συντηρητική και περιλαμβάνει παγοθεραπεία, διαφοροποίηση της αθλητικής δραστηριότητας του ασθενούς, ξεκούραση, αντιφλεγμονώδης αγωγή, ενώ πλέον σε εμμένουσες μορφές τενοντίτιδας διενεργούνται σύγχρονες βιολογικές θεραπείες όπως η έγχυση πλάσματος πλούσιων σε αιμοπετάλια (PRP injection).
Από τις συχνότερες αθλητικές κακώσεις και μάλιστα αποτελεί την συνηθέστερη αιτία για την οποία ένας αθλητής δεν συμμετέχει στα διάφορα αθλητικά γεγονότα.
Η διάγνωση είναι κυρίως κλινική. Η ποδοκνημική εμφανίζει οίδημα - πρήξιμο, εκχυμώσεις καθώς και έντονο άλγος κατά τις κινήσεις του ποδός.
Διακρίνεται σε 3 στάδια - βαθμούς αναλόγως τη σοβαρότητα της κλινικής εικόνας της ποδοκνημικής.
Η ακτινογραφία της ποδοκνημικής συνήθως συστήνεται μόνο όταν κατά την κλινική εξέταση από τον ορθοπεδικό παρουσιαστεί αυξημένη οστική ευαισθησία στα οστά της ποδοκνημικής άρθρωσης.
Η θεραπεία συνήθως είναι συντηρητική. Συστήνεται η ακινητοποίηση της άρθρωσης για μικρό χρονικό διάστημα και η άμεση έναρξη φυσικοθεραπείας. Σπάνια χρειάζεται χειρουργική αντιμετώπιση είτε για συρραφή συνδέσμων σε περίπτωση αστάθειας της ποδοκνημικής, είτε για αφαίρεση - καθαρισμό οστεοχονδρινής βλάβης. Και στις 2 περιπτώσεις το χειρουργείο γίνεται ορθοσκοπικά με ελάχιστο χρόνο νοσηλείας και άμεση επάνοδο σε αθλητικές δραστηριότητες.
Η ρήξη στροφικού πετάλου ώμου αποτελεί μια από τις συχνότερες αιτίες άλγους της περιοχής του ώμου. Προκαλεί έντονο άλγος στον ώμο, κυρίως στην περιοχή του δελτοειδούς, ενώ μερικές φορές μπορεί να αντανακλά σε όλο το μήκος του άνω άκρου. Σε βαριές μορφές εμφανίζει νυχτερινό άλγος. Επιπρόσθετα προκαλεί μείωση του εύρους κίνησης του ώμου και αδυναμία ανύψωσης του άνω άκρου για διενέργεια απλών καθημερινών πράξεων.
Το αίτιο της ρήξης μπορεί να είναι είτε τραυματικής αιτιολογίας στο πλαίσιο αθλητικής κάκωσης είτε εκφυλιστικής αιτιολογίας εξαιτίας φθοράς λόγω υπέρχρησης κυρίως σε άτομα μέσης και τρίτης ηλικίας.
Η διάγνωση γίνεται μέσω ενδελεχούς κλινικής εξέτασης μέσα από εξειδικευμένες κλινικές δοκιμασίες που υποβάλλει ο ορθοπεδικός τον ασθενή και επιβεβαιώνεται μετά από διενέργεια μαγνητικής τομογραφίας ώμου.
Η θεραπεία διακρίνεται σε χειρουργική ή συντηρητική αντιμετώπιση. Η απόφαση για το είδος της θεραπευτικής επιλογής πρέπει να γίνεται εξατομικευμένα για τον κάθε ασθενή λαμβάνοντας πάντα υπ' όψιν παράγοντες, όπως το χρονικό διάστημα εμφάνισης των συμπτωμάτων (οξύ άλγος ή χρόνιο άλγος), τον βαθμό της ρήξης του στροφικού πετάλου (πλήρης ρήξη ή μερική ρήξη), την ηλικία του ασθενούς, τον βαθμό της μυϊκής ατροφίας, καθώς και την εν γένει αθλητική δραστηριότητα του ασθενούς.
Η χειρουργική αντιμετώπιση γίνεται με αρθοσκοπική συρραφή του στροφικού πετάλου. Η αρθοσκοπική τεχνική παρέχει άμεση ανακούφιση από τον πόνο, μικρές χειρουργικές τομές, ελάχιστη παραμονή στο νοσοκομείο (ημερησία νοσηλεία), καθώς και άμεση επάνοδο του ασθενούς στην καθημερινότητα του και επιστροφή σε εντατικούς ρυθμούς άσκησης σε σύντομο χρονικό διάστημα.
Ραντεβού: 6944 985258
Σταθερό Τηλ.: 210 7232382
Επείγοντα: 6932 038056
Email: Αυτή η διεύθυνση ηλεκτρονικού ταχυδρομείου προστατεύεται από τους αυτοματισμούς αποστολέων ανεπιθύμητων μηνυμάτων. Χρειάζεται να ενεργοποιήσετε τη JavaScript για να μπορέσετε να τη δείτε.
© 2022, Dr. Georgios Mpekas | Realized by opk.gr 